Gestalten Sie die Zukunft der digitalen Pathologie mit
AISight Dx – die Plattform für digitale Pathologie
(CE-IVDR-zertifiziert)
AISight Dx
Die Plattform für die nächste Generation digitaler Pathologielabore.
AISight Dx ist eine CE-gekennzeichnete, IVDR-zertifizierte Plattform für digitale Pathologie und ein Image Management System für die Primärdiagnostik. Sie zentralisiert das Fall- und Bildmanagement in einer KI- und Cloud-nativen Lösung. Sie ermöglicht Patholog:innen, digitale Fallträger intuitiv anzusehen, zu interpretieren, zu teilen und zu verwalten.

Optimieren von Laborabläufen
AISight Dx automatisiert Arbeitsprozesse, priorisiert dringende Fälle und vereinfacht wiederkehrende Aufgaben. Dadurch reduziert sich der manuelle Aufwand, und ein effizientes Fallmanagement wird über eine moderne, intuitiv bedienbare Oberfläche ermöglicht.
Vertiefte Zusammenarbeit
AISight Dx erleichtert die interdisziplinäre Kommunikation und Teamarbeit durch Werkzeuge für die Echtzeit-Konsultation sowie vielfältige Möglichkeiten der asynchronen Zusammenarbeit.
AI-Native
AISight Dx wurde von Grund auf dafür entwickelt, KI direkt im Slide-Viewer und darüber hinaus zu integrieren – für eine neue Generation an Effizienz durch Fallpriorisierung, automatische Fallzuweisung, unterstützte Befundung und Qualitätssicherung.
Vielseitige Funktionen
AISight Dx unterstützt ein breites Spektrum an Anwendungsfällen in Diagnostik, Forschung sowie Ausbildung und Training. Die Plattform vereinfacht Abläufe und reduziert den Bedarf an mehreren getrennten Systemen.
Umfassende Unterstützung des gesamten Pathologieworkflows
AISight Dx geht über die klassischen Funktionen eines Bildverwaltungssystems hinaus und steigert die Effizienz durch moderne, KI-gestützte Features entlang des gesamten Workflows. AISight Dx ist der zentrale digitale Arbeitsplatz für die moderne Pathologie.
Präanalytik
Automatisierte Qualitätskontrolle
Manuelle & automatische Laboraufträge
Schnittersatz
Priorisierung & Zuweisung
Gewebebasierte Fallpriorisierung
KI-gestützte intelligente Fallzuweisung
Fallübersicht
Fall- & Schnittbegutachtung
Geführte Befundung
Automatische Multi-Schnitt Ausrichtung
Intelligente Rotation
Zusammenarbeit
Echtzeit & zeitversetzte Zusammenarbeit
Tagging & Benachrichtigung
Tumorboard-Administration
(Assistierte) Diagnostik
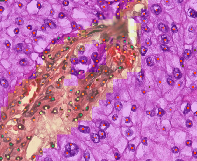
Zelluläre Quantifizierung
Automatisierte Abmessungen
Fall- und Schnitt-Synthese
Befundung & Finalisierung
Strukturierte Befundung
Befund-Vorbefüllung
Befundgenerierung
Überwachung
Übersicht der bearbeiteten Fälle
Überwachung der Schnittqualität
Verwaltung von Algorithmen
Ihr Partner für eine erfolgreiche KI-Einführung
Als führender IMS-Anbieter und KI-Entwickler verbindet PathAI tiefe Expertise in der Algorithmusentwicklung mit praktischer Erfahrung aus dem Einsatz von KI in unserem eigenen routinediagnostischen Pathologielabor.
KI-EXPERTISE & BEGLEITUNG
Als führender Entwickler im Bereich medizinischer KI unterstützt PathAI Labore bei der Einführung und Integration von KI: durch fachkundige Beratung, Optimierung und einen Ansatz, der weit über die Bereitstellung von Algorithmen hinausgeht.
KURATIERTE KI-ANWENDUNGEN
Greifen Sie auf den größten Katalog KI-gestützter Werkzeuge zu, entwickelt von führenden Expert:innen der digitalen Pathologie, um hohe Leistungsfähigkeit und Präzision für die Anforderungen Ihres Labors zu gewährleisten.
NAHTLOSE INTEGRATION
Alle Algorithmen sind vollständig in AISight Dx eingebettet, um eine reibungslose und intuitive Nutzererfahrung zu ermöglichen. Es sind keine zusätzlichen Viewer erforderlich, um den vollen Funktionsumfang der Anwendungen zu nutzen
Ein offenes KI-Ökosystem in einer einzigen Plattform
PathAIs Workflow-Algorithmen
Das CE-IVDR-zertifizierte AISight Dx Image Management System bietet KI-gestützte Workflow-Funktionen für Qualitätskontrolle, Fallpriorisierung und die Bewertung des Tumorzellgehalts.
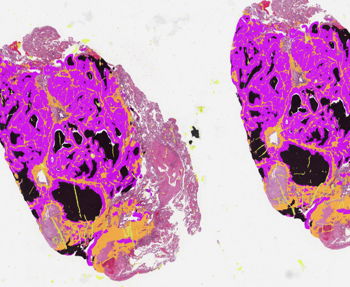
ARTIFACT DETECT
Erkennt Artefakte anhand aktionsorientierter Klassen (Scannen, Eindeckeln, Schneiden, Makroskopie und weitere), um die Qualität automatisch zu überwachen.
CASE PRIORITY
Priorisiert Fälle basierend darauf, ob suspektes Gewebe identifiziert wird. Auch verfügbar als RUO-Algorithmus TumorDetect, der Tumor-, Stroma- und Nekrosetissue differenziert.
AIM-TUMORCELLULARITY
Berechnet den Tumorzellgehalt basierend auf der Anzahl der Tumorzellkerne für präanalytische Workflows vor der genetischen Sequenzierung.
Die zentrale Plattform für all Ihre KI-Anwendungen
AISight Dx integriert eine stetig wachsende Liste von über 40 Algorithmen, entwickelt von führenden KI-Expert:innen – für Forschung, Workflow-Optimierung, assistierte Score-Bewertungen und die Quantifizierung von Biomarkern. Diese Algorithmen sind vollständig in den Viewer eingebettet und über den gesamten von AISight Dx unterstützten Workflow hinweg verfügbar.
PathAI bietet ein umfangreiches RUO-Portfolio, darunter PathAssist Derm für die Dermatopathologie, sowie Quantifizierungswerkzeuge für Biomarker wie AIM-PD-L1, AIM-MASH und AIM-Breast, ebenso wie Tools für explorative Forschung.
DeepBio DeepDx Prostate bietet CE-IVD-diagnostische Unterstützung zur Verbesserung der Genauigkeit bei der Beurteilung von Prostatakarzinomen. Mit DeepDx Breast bietet DeepBio zudem RUO-Lösungen für Brustkrebs.
Die KI-Anwendungen von Paige reduzieren den Zeitdruck und die Arbeitslast für Patholog:innen. Die Paige-Suite umfasst Lösungen für Prostata, Brust, Kolon sowie pan-kanzerologische Ansätze.
Primaa bietet KI-gestützte diagnostische Tools wie Cleo Breast (CE-IVDR) und Cleo Skin (RUO), entwickelt zur Detektion und Quantifizierung von Biomarkern und verschiedenen Läsionstypen.
Histotype Px® Colorectal ist CE-IVD-zertifiziert zur Prognoseabschätzung bei kolorektalen Adenokarzinomen der Stadien II–III, entwickelt zur Unterstützung von Entscheidungen über adjuvante Chemotherapie nach Resektion.
Mindpeak bietet CE-IVD-KI-Lösungen zur Analyse von Brustkrebs-Biomarkern (HER2, ER/PR, Ki-67) sowie PD-L1 beim Lungenkarzinom. Zudem stehen RUO-Tests für Prostata, Magen, Ösophagus, Urothel und Dermatopathologie zur Verfügung.
Stratipath bietet die erste CE-IVD-KI-Lösung zur prognostischen Risikoabschätzung bei Brustkrebs, basierend auf Routine-HE-Schnitten.
Visiopharm bietet ein umfassendes Panel CE-IVDR-konformer Anwendungen für Brustkrebs (ER, PR, Ki-67, Metastasennachweis, HER2) und eine Lösung für nicht-kleinzelliges Bronchialkarzinom (PD-L1).
Weltweit bewährt
AISight Dx wird von führenden pathologischen Laboratorien und Life-Science-Organisationen weltweit eingesetzt, um hochdurchsatzfähige, KI-unterstützte Forschung zu ermöglichen. Die Plattform verarbeitet mehr als 100 Millionen digitale Objektträger und unterstützt skalierbare, effiziente und präzise digitale Pathologieworkflows, die Forschung und Innovation in globalen Instituten beschleunigen.

Ihre lokalen Ansprechpartner für digitale Pathologie.
Unser deutschsprachiges Team kennt die Realitäten der Labore und Ihres Arbeitsumfelds. Wir bieten praxisnahe, lokal verankerte Unterstützung, um die digitale Pathologie der nächsten Generation mit AISight® Dx in Ihrem Labor zu etablieren.
Dr. Max Zinner
PathAI-Ansprechpartner
Entdecken Sie, wie AISight Dx durch globale Partnerschaften die Pathologie verändert, und erhalten Sie die neuesten Updates in unserem Newsroom.
Führende österreichische Pathologiegruppe wählt PathAIs AISight® Dx für den Ausbau KI-gestützter digitaler Pathologie
Das AISight Dx Image Management System von PathAI ist für die Primärdiagnostik CE-gekennzeichnet
PathAI verkündet den Erhalt der EMA-Qualifizierung für AIM-MASH AI Assist, ein KI-Tool für klinische Studien für MASH
CASE STUDY
AI-Assisted Titer Selection in Early Assay Development
- PathAI deployed IHC Explore on prostate cancer specimens stained with a novel, in-development assay
- IHC Explore quantifies staining intensity at single-cell resolution, enabling rapid assay characterization and titer optimization
- Continuous staining intensity measurement provides added value for next-generation biomarkers and precision medicine strategies
Vereinbaren Sie noch heute eine kostenlose Demo
Bringen Sie Ihre Pathologieworkflows und Forschungsprojekte mit AISight Dx auf das nächste Level
AISight® Dx ist in der EWR, der Schweiz und dem Vereinigten Königreich für die Primärdiagnostik CE-IVD-gekennzeichnet. Die CE-IVDR-Version von AISight Dx ist eigenständig und nicht identisch mit der in den Vereinigten Staaten FDA-zugelassenen Version.
ArtifactDetect, CasePriority und AIM-TumorCellularity sind Workflow-Tools innerhalb von AISight Dx und keine Medizinprodukte.
TumorDetect, AIM-MASH, AIM-HI Ulcerative Colitis, AIM-PD-L1, AIM-IHC Breast Panel (HER2, ER, PR, Ki-67) und PathAssist Derm sind ausschließlich für Forschungszwecke bestimmt. Nicht zur Verwendung in diagnostischen Verfahren.
