Introducing
PathAssist Derm
Now Available on AISight® Image Management System
AI-assisted histopathology tool for specimen orientation, prioritization, and measurement
- Comprehensive AI assessments for work list prioritization
- Fast and accurate classification of skin specimens
-
Automate key measurements for a deeply integrated experience on AISight®
PathAssist Derm
Collaborate seamlessly, annotate efficiently, and measure precisely with your new AI-powered dermatopathology research assistant on AISight® Image Management System

Improve Workflow Efficiency
PathAssist Derm is fully integrated in to the AISight® Image Management System reducing the time and effort required for manual assessments.
.png?width=100&height=100&name=Kaylee%20Workbook%20(1).png)
Comprehensive Analysis
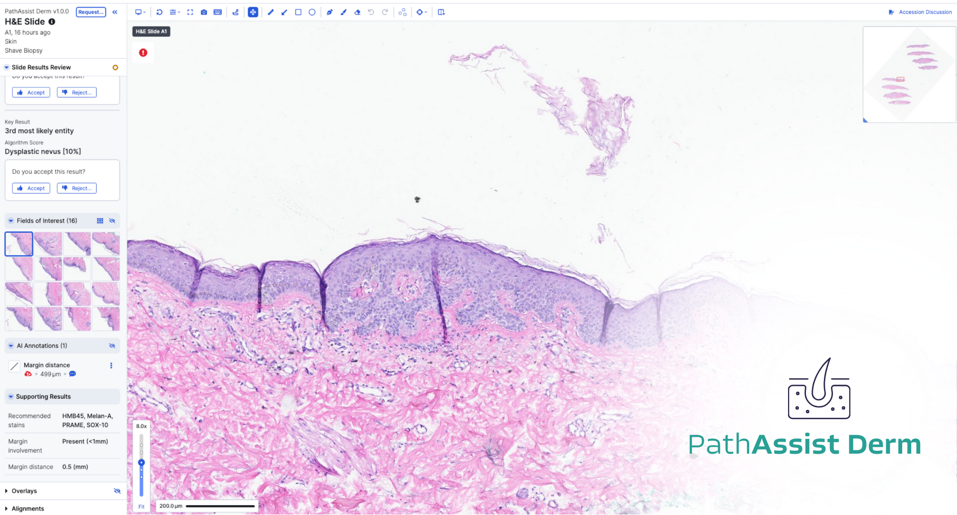
PathAssist Derm includes several modules aimed at increasing interrogation of H&E slides by orienting, prioritizing, and measuring skin lesions

Classification & Differentiation
PathAssist Derm classifies neoplastic, inflammatory, and normal lesions, including key subtypes of basaloid, squamous, and melanocytic lesions
Optimizes dermatopathology research workflows by prioritizing samples, suggesting relevant ancillary tests, and providing detailed lesion descriptions
Specifications
- Intended Use: Research Use Only
- Scanners:
Aperio AT2, Aperio GT450, Hamamatsu S360, Philips UFS, Ventana DP200
- Inputs: Skin cancer biopsy, resection, and/or excision sample
- Outputs: "Possible entities" with calibrated model confidence, relevant ancillary tests, and lesion measurements
PathAssist Derm may be compatible with additional scanner types. Please contract us for more information.
PathAssist Derm
H&E-based assessments and multi-scanner compatible
.png?width=1920&height=1033&name=PathAssist%20Derm%20Hero%20(2).png)
PathAssist Derm provides specialized tools to streamline specimen orientation, prioritize, and measurement
Orient
Automatic identification of the appropriate orientation for each tissue section

Prioritize
Your worklist based on AI-predicted classification of skin lesions

- Identification of fields of interest in tissue sections for each predicted entity classified by the AI
- Overlays highlight the pixels most responsible for the slide-level predictions
- Supporting results list relevant ancillary tests based on possible entities (examples in table below)
|
Entity |
Relevant Ancillary Tests |
|
Dysplastic nevus |
Melan-A, PRAME, SOX-10 |
|
Invasive melanoma |
HMB45, Melan-A, PRAME, SOX-10 |
|
Melanoma in situ (MIS) |
HMB45, Melan-A, PRAME, SOX-10 |
|
Squamous cell carcinoma (SCC) |
CK5/6, p40 |
Measure
Quantify and characterize the lesion within the specimen

CASE STUDY
AI-Assisted Titer Selection in Early Assay Development
- PathAI deployed IHC Explore on prostate cancer specimens stained with a novel, in-development assay
- IHC Explore quantifies staining intensity at single-cell resolution, enabling rapid assay characterization and titer optimization
- Continuous staining intensity measurement provides added value for next-generation biomarkers and precision medicine strategies
Schedule a free demo of PathAssist Derm today
Fuel your dermatopathology research with AI
PathAssist Derm for research use only. Not for use in diagnostic procedures.
AISight is for Research Use Only in the US; AISight Dx is CE-IVD marked in Europe, UK and Switzerland.